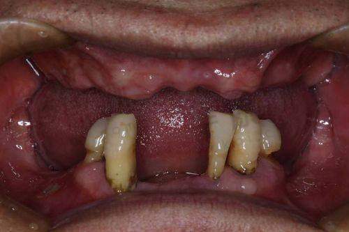
我一直被半口牙齿缺失的问题困扰着,吃饭不香,说话也受影响。后来了解到内蒙呼和浩特天牙口腔祝昂明医生在all-on-4半口种植方面技术高超,就决定去试试。接下来我就给大家分享下我的就诊过程、诊疗成效和感受。
内蒙呼和浩特天牙口腔祝昂明all-on-4半口种植之初印象
我第一次走进内蒙呼和浩特天牙口腔的时候,就被这里干净整洁的环境吸引了。前台的工作人员非常热情,特别快就帮我安排好了和祝昂明医生的面诊。见到祝医生后,他给我的第一印象就是专精又亲切。他详细询问了我的牙齿情况和过往病史,还耐心解答了我关于all-on-4半口种植的各种疑问,让我心里踏实了不少。
内蒙呼和浩特天牙口腔祝昂明all-on-4半口种植之全方面检查
为了制定出更适合我的种植方案,祝医生安排我做了全方面的口腔检查。检查项目还挺多的,有口腔CT、X光片等。通过这些检查,祝医生清楚地了解了我口腔的具体情况,包括牙槽骨的密度、高度和宽度等。之后,他根据检查结果,为我量身定制了all-on-4半口种植方案。他一边给我讲解方案,一边用模型给我演示,让我特别容易就明白了整个种植过程。
内蒙呼和浩特天牙口腔祝昂明all-on-4半口种植之术前准备
在手术前,祝医生和护士们都反复叮嘱我一些注意事项。比如要保持口腔清洁,术前不能吃太油腻的食物等。他们还安慰我不要紧张,说整个手术过程会尽量让我感觉舒适。医院的这种贴心关怀,让我原本有些紧张的心情放松了不少。我对即将到来的手术也更有信心了。
内蒙呼和浩特天牙口腔祝昂明all-on-4半口种植之手术过程
手术当天,我躺在手术椅上,心里还是有点小紧张。祝医生看出了我的心思,一直在旁边和我聊天,分散我的注意力。手术开始后,精良行了局部麻醉,打麻药的时候稍微有点疼,但特别快就不疼了。整个手术过程中,我能感觉到祝医生的操作非常熟练,动作特别轻柔。虽然能感觉到一些拉扯感,但并没有特别强烈的疼痛感。手术进行得特别顺利,大概用了不到两个小时就完成了。
内蒙呼和浩特天牙口腔祝昂明all-on-4半口种植之术后护理
手术后,祝医生和护士们给我详细讲解了术后的护理方法。比如要按时吃药、注意口腔卫生、饮食要清淡等。他们还留了联系方式给我,让我有任何问题都可以随时联系他们。在修复期间,我严格按照他们的嘱咐进行护理。刚开始的几天,口腔会有点肿胀和疼痛,但都是在可以忍受的范围内。随着时间的推移,肿胀和疼痛逐渐减轻,修复得还挺快的。
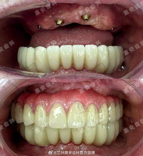
内蒙呼和浩特天牙口腔祝昂明all-on-4半口种植之诊疗成效
经过一段时间的修复,我终于戴上了新的牙齿。当我看到镜子里自己整齐的牙齿时,心里别提多高兴了。现在我吃东西再也不费劲了,什么美食都能尽情享受。而且说话也变得清晰了,整个人的自信心都提升了不少。祝医生的技术真的太厉害了,这次all-on-4半口种植的成效超出了我的预期。
内蒙呼和浩特天牙口腔祝昂明all-on-4半口种植之患者感受
这次在内蒙呼和浩特天牙口腔找祝昂明医生做all-on-4半口种植,我的体验非常好。从一开始的面诊到手术,再到术后的护理,每一个环节都能感受到医生和护士们的专精和负责。他们就像家人一样关心我,让我在整个治疗过程中都特别安心。我真心推荐有牙齿缺失问题的朋友们,来内蒙呼和浩特天牙口腔找祝昂明医生做all-on-4半口种植。
总的来说,内蒙呼和浩特天牙口腔祝昂明all-on-4半口种植给我带来了全新的生活体验。祝医生凭借他不错的技术和贴心的服务,成功解决了我半口牙齿缺失的难题。如果你也有类似的困扰,不妨来这里试试,相信你也会和我一样满意。

评价(已有0人点评)