
在上海城本口腔门诊部,有这样一位备受瞩目的牙科医生——程勇。他拥有15余年的牙科诊疗经验,是副主医师,擅长普通种植、即刻种植、微创种植等多种种植技术,凭借不错的医术和贴心的服务,赢得了众多患者的信赖和好评。

上海城本口腔门诊部程勇医生简介
程勇医生是上海城本口腔中方院长、国内外骨干医生门诊骨干医生,拥有复旦大学口腔医学博士学历。他从事牙科诊疗工作15余年,曾在上海中山医院担任种植医师,积累了丰富的临床经验和深厚的专精知识,是上海城本口腔种植中 心的领军人物。他的执业证书编码为120310000002635,执业范围是口腔专精,发证机关为上海市长宁区卫生健康委员会,还在上海雅冠林口腔门诊部、上海松丰口腔门诊部等多家机构有备案。

上海城本口腔门诊部程勇医生擅长项目
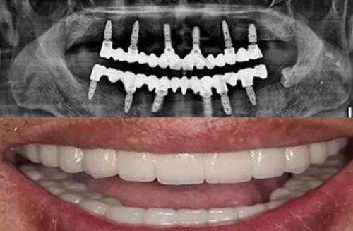
程勇医生擅长的项目十分广泛。在种植技术方面,他精通普通种植、即刻种植、微创种植、微创即刻种植、全口半口牙颌种植等。同时,他还掌握穿颧穿翼种植技术、all - on - 4即刻负重种植技术等多种精良种植技术。在疑难种植治疗方面,他能够处理全口种植义齿、前牙美学种植、骨量不足的种植治疗等各类疑难种植病例。此外,他还擅长侧壁开窗上颌窦底提升手术、自体骨移植手术等其他手术以及种植义齿修复、吸附性全口活动义齿修复等。

上海城本口腔门诊部程勇医生资质信息
程勇医生拥有众多专精资质。他是CSA口腔医学会会员、上海口腔种植专委会会员、ITI口腔种植协会会员。同时,他还是瑞典诺贝尔种植系统法定认证医师、瑞士士卓曼ITI种植系统法定认证医师,这些资质充分证明了他在口腔种植领域的专精能力和具有影响力性。

上海城本口腔门诊部程勇医生特色技术优势
程勇医生的特色技术优势明显。他所掌握的各类种植技术,能够根据患者的不同情况,提供个性化的治疗方案。比如在面对骨量不足的患者时,他的复杂骨量不足种植治疗技术以及上颌窦提升等高难度种植手术能力,能有效解决患者的难题。他的数字化3D导板种植技术,能够更加精细地进行种植操作,提高种植的成功几率和精细度。而前牙美学即刻种植技术,则能在解决患者牙齿缺失问题的同时,兼顾美观成效。

上海城本口腔门诊部程勇医生的口碑评价
程勇医生在患者中口碑出色。有患者称他为“口腔神刀”。曾有患者带年纪大、骨量不足且之前种牙失败过的父亲找程院长做全口种植,程院长凭借专精背景和专精能力,给出明确方案并成功完成种植,让患者全家放心。还有网友表示父亲经程勇院长全口种植牙治疗后,吃饭不再是问题,笑容也变得自然,程院长和他的团队技术好且服务贴心,让全家满意。

上海城本口腔门诊部程勇医生预约方式
如果您想预约程勇医生,可以前往上海城本口腔门诊部现场询问预约,也可以通过该门诊部的法定网站或线上平台进行预约。在预约时,请提前准备好个人相关的口腔检查资料,以便程医生更好地了解您的口腔情况,为您制定合适的治疗方案。


华磊主治医生
所属医院:射阳兴华口腔门诊部
诊疗项目:种植牙、牙齿美白、儿童齿科、地包天、牙套
2025-10-04 07:01:02

王元琴执业医师
所属医院:淄博夏日口腔诊所
诊疗项目:烤瓷牙、全瓷牙、口腔颌面外科、拔牙、颌面外科
2025-10-06 13:20:04

王中杰主治医师
所属医院:新乡拜博口腔门诊部
诊疗项目:补牙、全瓷牙、洗牙、拔牙、颌面外科
2025-10-08 06:29:01

刘仰医师
所属医院:南方医科大学深圳医院口腔科
诊疗项目:牙齿矫正、牙齿美白、补牙、根管治疗、活动义齿
2025-10-08 14:00:03

陈路沅医师
所属医院:南方医科大学深圳医院口腔科
诊疗项目:、全瓷牙、口腔颌面外科、地包天、活动义齿
2025-10-13 14:33:03

太原维美口腔门诊部
项目:种植牙、牙齿矫正、牙齿美白、补牙、烤瓷牙、儿童齿科、根管治疗、全瓷牙、地包天、洗牙、龋齿、牙套、拔牙、活动义齿
地址:山西省太原市万柏林区下元街道下元街智诚御河骏景A区A2号楼1008号商铺
2025-10-09 10:03:35

福建华南口腔医院(福清门诊部)
项目:种植牙、烤瓷牙、根管治疗、全瓷牙、洗牙
地址:福建省福州市福清市音西街道清辉街22-47号
2025-10-11 10:39:05

漯河众植口腔门诊部
项目:种植牙、牙齿矫正、牙齿美白、补牙、烤瓷牙、儿童齿科、根管治疗、全瓷牙、地包天、洗牙、龋齿、牙套、拔牙、活动义齿
地址:河南省漯河市郾城区黄河路与崂山路交叉口东80米
2025-10-14 10:02:42

广州天河柏德口腔门诊部
项目:种植牙、牙齿矫正、牙齿美白、补牙、烤瓷牙、儿童齿科、根管治疗、全瓷牙、地包天、洗牙、龋齿、牙套、拔牙、活动义齿
地址:广州市天河区天河东路220号柏德口腔4楼
2025-10-15 09:56:32

上海英博口腔
项目:种植牙、根管治疗、全瓷牙、牙套、拔牙
地址:上海市黄浦区老太平弄 99号商业裙楼一层01单元、02单元、二层
2025-10-15 11:33:02
评价(已有0人点评)