华康网 华康网

当前位置:首页> 项目 > 正文

忻州恒伦口腔儿童矫正3000元起,新技术定制方案助孩子口腔健康发育

忻州恒伦口腔儿童矫正3000元起,新技术定制方案助孩子口腔健康发育

优惠价¥ 3000

原价5690

项目医生:

优惠医院:忻州恒伦口腔门诊部(公园街店)

时间:2025-10-18 17:08:02

预约医院

在忻州市,忻州恒伦口腔推出的儿童矫正3000元起的项目备受关注。这一实惠且专精的儿童矫正服务,为众多家长解决孩子牙齿问题提供了优质选择。下面就为大家详细介绍忻州恒伦口腔儿童矫正3000元起这一项目。

忻州恒伦口腔儿童矫正3000元起的价格详情

忻州恒伦口腔儿童矫正3000元起的价格详情

忻州恒伦口腔2025版收费价目表显示,儿童矫正价格低至3000元起。该收费价目表呈现明显分级特点,矫正价格范围在3000 - 5万元,能满足不同预算需求,且所有价格均包含头一次检查与方案设计费。除了儿童矫正,在儿童专项中,窝沟封闭100元/颗,乳牙预成冠600元。

与其他矫正项目相比,如自锁托槽矫正价格在11636 - 22000元起,传统金属固定矫正5980元起,国产隐形矫正16000元起,进口隐形矫正28000元起,儿童矫正3000元起的价格优势十分明显,为家长们减轻了经济负担。

忻州恒伦口腔儿童矫正3000元起的医院特色

忻州恒伦口腔儿童矫正3000元起的医院特色

忻州恒伦口腔是一家连锁私立牙科,不仅在太原、石家庄、晋中有门店,在忻州也有2家门店,分别是恒伦口腔(忻州总店),位于山西省忻州市长征街街道慕山北路同煤大厦以北,电话是0350 - 2123333;还有恒伦口腔(公园西街店),地址在山西省忻州市忻府区公园西街精华小区1416号,电话同样是0350 - 2123333。

医院可开展即刻种植等技术,具备完善的口腔诊疗体系。在儿童矫正方面,医院专注于儿童口腔健康,采用新型的早期干预技术,如MRC肌功能训练、ETA儿童早期矫正等,针对儿童不同的口腔问题制定个性化矫正方案。

忻州恒伦口腔儿童矫正3000元起的医生优势

忻州恒伦口腔儿童矫正3000元起的医生优势

忻州恒伦口腔有秦浩医生坐诊,他在口腔修复方面有着丰富的临床操作经验。在儿童矫正项目中,医生们会根据每个孩子的具体情况,如牙齿排列、咬合关系、颌骨发育等,制定精细的矫正方案。

医生们会耐心与家长和孩子沟通,让孩子在轻松的氛围中接受矫正治疗。在矫正过程中,医生会定期为孩子调整牙套,确保矫正成效。例如有患者反馈,在该口腔医院做牙齿矫正,医生水平高,整个矫正过程非常顺利。

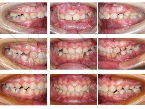
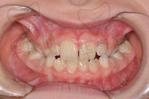
忻州恒伦口腔儿童矫正3000元起的成功实例

忻州恒伦口腔儿童矫正3000元起的成功实例

儿童时期的牙齿矫正对于预防错颌畸形、促进颌骨正常发育具有重要意义。恒伦口腔的儿童早期矫正服务起价仅为3000元,为家长们提供了经济实惠的选择。有许多孩子在忻州恒伦口腔接受了儿童矫正治疗,取得了良好的成效。

比如有的孩子牙齿排列不整齐,经过一段时间的矫正后,牙齿变得整齐美观,面部轮廓也得到了改善。这些成功实例充分证明了忻州恒伦口腔儿童矫正3000元起这一项目的有效性和可靠性。

忻州恒伦口腔儿童矫正3000元起的服务体验

忻州恒伦口腔儿童矫正3000元起的服务体验

忻州恒伦口腔注重患者的服务体验,从孩子进入医院开始,就有专精的导医引导,帮助家长和孩子了解矫正流程。在矫正过程中,医院会为孩子建立详细的口腔健康档案,记录每次矫正的情况。

医院的环境舒适温馨,采用了适合儿童的装修风格,减少孩子对医院的恐惧心理。同时,医院还提供了便捷的预约服务,家长可以通过电话、网络等方式提前预约,节省了等待时间。

总之,忻州恒伦口腔儿童矫正3000元起这一项目,凭借其合理的价格、专精的医院和医生团队、成功的实例以及优质的服务体验,成为了忻州市家长们为孩子进行牙齿矫正的理想选择。

忻州恒伦口腔儿童矫正3000元起的项目,以实惠的价格和专精的服务,为忻州市儿童的口腔健康保驾护航。如果您的孩子有牙齿矫正的需求,不妨考虑忻州恒伦口腔。

评价

评价(已有0人点评)

日记