华康网 华康网

当前位置:首页> 项目 > 正文

株洲荷塘唯美口腔儿童早期矫正2980元起,专业方案助孩子开启健康美齿之旅

株洲荷塘唯美口腔儿童早期矫正2980元起,专业方案助孩子开启健康美齿之旅

优惠价¥ 2980

原价3640

项目医生:

优惠医院:株洲荷塘唯美口腔门诊部

时间:2025-09-30 14:13:02

预约医院

株洲荷塘唯美口腔儿童早期矫正2980元起,这一优惠价格吸引了众多家长的关注。儿童早期矫正对于孩子的口腔健康和面部发育至关重要,株洲荷塘唯美口腔在这方面有着独特的优势。

株洲荷塘唯美口腔儿童早期矫正价格详情

株洲荷塘唯美口腔儿童早期矫正价格详情

株洲荷塘唯美口腔为儿童早期矫正提供了极具性价比的价格方案,2980元起的收费包含了多项基础服务。该价格是一个基础的矫正起始价,具体费用会根据孩子牙齿的具体情况,如是否存在牙齿不齐、拥挤、地包天等不同程度的问题,以及所采用的矫正技术和材料有所波动。一般来说,较为简单的牙齿排列问题矫正费用接近起始价格,而对于复杂一些的错颌畸形,费用可能会有所增加,但相比市场上其他口腔机构,依然有较大的价格优势。例如,一些常见的牙性地包天矫正,在该口腔机构可能只需在基础价格上适当增加一定费用,就能得到有效的治疗。

株洲荷塘唯美口腔儿童早期矫正的特色优势

株洲荷塘唯美口腔儿童早期矫正的特色优势

株洲荷塘唯美口腔经德国ICX种植牙公司多年严格随访及芬兰罗慕认证授权与认可,已成为株洲口腔临床种植牙合作及儿童咬合诱导项目指定单位。这充分证明了其在儿童口腔矫正领域的专精性和具有影响力性。在儿童早期矫正方面,医院拥有专精的矫正团队,医生们具备丰富的临床经验和专精知识,能够根据每个孩子的口腔状况和生长发育特点,制定个性化的矫正方案。

医院采用精良的矫正技术和材料,确保矫正成效的同时,也注重孩子的舒适度。例如,在矫正过程中使用的一些矫正器,具有小巧、轻便、隐蔽等特点,不会对孩子的日常生活和学习造成太大影响。而且,医院还会定期对孩子的矫正情况进行跟踪和评估,及时调整矫正方案,以达到至佳的矫正成效。

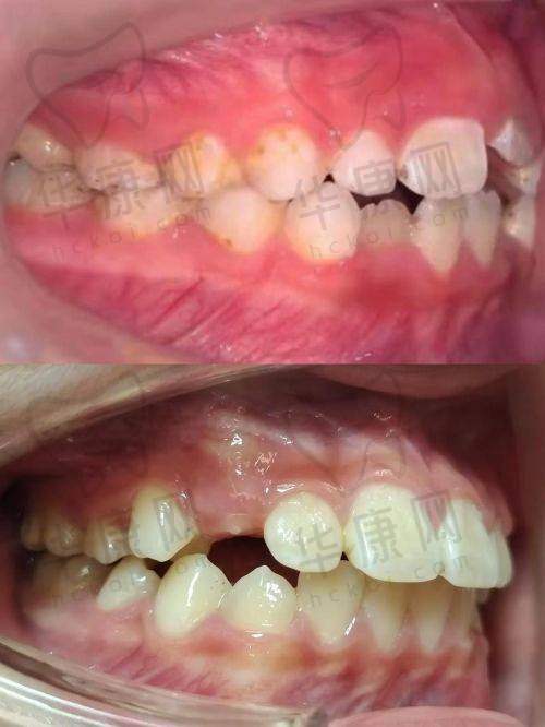
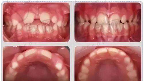
株洲荷塘唯美口腔儿童早期矫正的实例分享

株洲荷塘唯美口腔儿童早期矫正的实例分享

曾经有一位小朋友,牙齿存在明显的地包天问题,家长非常担心会影响孩子的面部发育和自信心。来到株洲荷塘唯美口腔后,医生为他进行了详细的检查和评估,制定了个性化的早期矫正方案。在矫正过程中,医生和护士给予了孩子充分的关心和鼓励,让孩子能够积极配合治疗。经过一段时间的矫正,孩子的地包天问题得到了明显改善,面部外观也更加美观。家长对矫正成效非常满意,也对医院的专精服务和技术水平赞不绝口。

株洲荷塘唯美口腔儿童早期矫正的服务体验

株洲荷塘唯美口腔儿童早期矫正的服务体验

株洲荷塘唯美口腔始终秉承“爱齿以德、雅致健康”的企业理念,以“口腔健康、全身健康”的服务宗旨致力于株洲区域。在儿童早期矫正服务中,医院注重为孩子和家长提供温馨、舒适的就诊环境。从孩子进入医院开始,就能感受到医护人员的热情和关怀。医院还会为家长提供详细的矫正知识和注意事项讲解,让家长能够更好地配合孩子的矫正治疗。同时,医院还提供便捷的预约服务,减少孩子和家长的等待时间。

株洲荷塘唯美口腔儿童早期矫正的社会认可

株洲荷塘唯美口腔儿童早期矫正的社会认可

株洲荷塘唯美口腔在当地已经成为牙友信任的靠谱口腔机构。其在儿童早期矫正方面的专精服务和良好成效,得到了众多家长和孩子的认可和好评。许多家长表示,选择株洲荷塘唯美口腔为孩子进行早期矫正,不仅是因为价格实惠,更重要的是医院的专精技术和贴心服务让人放心。医院也通过不断提升自身的服务质量和技术水平,为更多的孩子提供优质的口腔矫正服务,为本土百姓及家庭的健康口腔保驾护航。

总之,株洲荷塘唯美口腔儿童早期矫正2980元起的价格优势明显,加上其专精的技术、个性化的方案、良好的服务体验和社会认可,是家长为孩子选择儿童早期矫正的理想之选。如果您的孩子也存在口腔问题,不妨考虑一下株洲荷塘唯美口腔。

评价

评价(已有0人点评)

日记