华康网 华康网

当前位置:首页> 项目 > 正文

重庆南岸名博士口腔冷光美白1380元起,先进设备与专业服务打造牙齿净白体验

重庆南岸名博士口腔冷光美白1380元起,先进设备与专业服务打造牙齿净白体验

优惠价¥ 1380

原价3310

项目医生:

优惠医院:重庆南岸名博士口腔门诊部

时间:2025-09-20 13:50:03

预约医院

在追求美丽笑容的道路上,牙齿美白是许多人的热门选择。重庆南岸名博士口腔推出的冷光美白项目,价格1380元起,吸引了众多关注。接下来,让我们深入了解这个项目以及该口腔医院在冷光美白方面的特色优势。

重庆南岸名博士口腔冷光美白项目价格详情

重庆南岸名博士口腔冷光美白项目价格详情

冷光美白的价格因多种因素而异。在重庆南岸名博士口腔,冷光美白1380元起,这个价格具有一定的竞争力。与市场上其他口腔机构相比,重庆牙博士口腔医院2025年牙齿美白价格在1800 - 5000元不等,2025年1月10日某机构冷光牙齿美白约1980元起,2025年1月2日冷光美白1680元起。而重庆南岸名博士口腔的冷光美白以1380元起的价格,为消费者提供了更实惠的选择。

需要注意的是,这个价格是起始价,更终的费用会根据顾客的牙齿状况、美白的难易程度等进行调整。如果牙齿污渍较多、变色重度,可能需要额外的治疗步骤,价格也会相应提高。

重庆南岸名博士口腔冷光美白的医院特色

重庆南岸名博士口腔冷光美白的医院特色

重庆南岸名博士口腔门诊部配备精良的口腔调节设备和技术,这为冷光美白项目提供了坚实的硬件基础。精良的设备能够更精细地控制冷光的强度和时间,确保美白成效的同时,较大程度减少对牙齿的损伤。

该医院以专精的口腔护理服务而驰名。在冷光美白过程中,医护人员会为顾客提供个性化的调节方案。他们会在术前对顾客的牙齿进行全方面检查,了解牙齿的健康状况和变色原因,然后根据这些信息制定更适合顾客的美白方案,真正做到因人而异、精细美白。

重庆南岸名博士口腔冷光美白的医生优势

重庆南岸名博士口腔冷光美白的医生优势

重庆南岸名博士口腔的医生团队在冷光美白领域拥有丰富的经验。他们经过专精的培训,熟悉冷光美白的各种技术和流程,能够熟练操作冷光美白设备。

医生们不仅具备高超的技术,还非常注重与顾客的沟通。在治疗前,他们会耐心地向顾客解释冷光美白的原理、过程、可能出现的问题以及术后的注意事项,让顾客对整个治疗过程有清晰的了解,消除顾客的顾虑。在治疗过程中,医生会密切关注顾客的感受,及时调整治疗方案,确保顾客的舒适度。

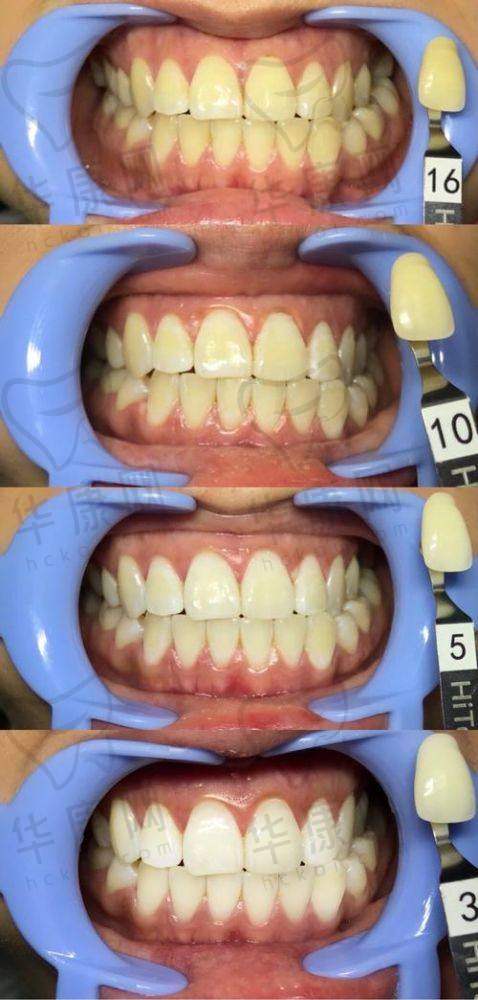
重庆南岸名博士口腔冷光美白的成效与保护

重庆南岸名博士口腔冷光美白的成效与保护

重庆南岸名博士口腔的冷光美白能够快速有效改善牙齿色泽,提升笑容魅力。许多接受过冷光美白的顾客都反馈,牙齿明显变白,笑容更加自信。

为了保护顾客的权益和美白成效,该医院还提供完善的售后服务。如果在美白后一段时间内出现牙齿不适或美白成效不理想等问题,顾客可以随时联系医院,医生会根据具体情况进行处理。

重庆南岸名博士口腔冷光美白的顾客评价

重庆南岸名博士口腔冷光美白的顾客评价

从顾客的评价来看,重庆南岸名博士口腔的冷光美白项目得到了广泛认可。顾客们称赞医院的环境舒适、服务周到,医生技术不错。一位顾客表示:“在重庆南岸名博士口腔做了冷光美白,价格实惠,成效也良好,医生特别专精,整个过程没有任何不适,非常满意。”

这些好评不仅体现了顾客对该医院冷光美白项目的肯定,也为更多想要进行牙齿美白的人提供了参考。

重庆南岸名博士口腔冷光美白的注意事项

重庆南岸名博士口腔冷光美白的注意事项

在进行冷光美白前,顾客需要告知医生自己的牙齿健康状况,如是否有龋齿、牙周炎等问题。如果有这些问题,需要精良行治疗,再进行冷光美白。

冷光美白后,顾客要注意饮食。避免食用过冷、过热、过酸、过甜的食物,以及容易染色的食物,如咖啡、茶、红酒等,以免影响美白成效。同时,要保持良好的口腔卫生习惯,按时刷牙、使用牙线等。

重庆南岸名博士口腔冷光美白与其他美白方式对比

重庆南岸名博士口腔冷光美白与其他美白方式对比

与牙齿贴面美白相比,冷光美白具有价格相对较低、对牙齿损伤较小的优点。牙齿贴面美白2980元起/颗,虽然成效持久,但费用较高,且需要磨除一定的牙齿组织。而冷光美白1380元起,不需要磨除牙齿,对牙齿的损伤较小。

与其他一些美白方式如美国进口皓得适冷光美白、美国进口皓得适皓齿美白等相比,重庆南岸名博士口腔的冷光美白在价格和成效上取得了较好的平衡。美国进口皓得适冷光美白599元起,但可能在美白成效的持久性上不如重庆南岸名博士口腔的冷光美白。

总之,重庆南岸名博士口腔冷光美白1380元起,凭借其合理的价格、精良的设备、专精的服务、非凡的医生团队以及良好的成效和保护,成为了众多想要进行牙齿美白人士的理想选择。如果你也想拥有洁白亮丽的牙齿,不妨考虑一下重庆南岸名博士口腔的冷光美白项目。

重庆南岸名博士口腔冷光美白1380元起,为追求牙齿美白的人们提供了一个经济实惠又专精可靠的选择。在这里,你可以在精良设备和专精医生的保护下,安心有效地实现牙齿美白,绽放自信笑容。

评价

评价(已有0人点评)

日记