华康网 华康网

当前位置:首页> 项目 > 正文

重庆种博士口腔3D超薄全瓷贴面1368元起,开启牙齿美观新体验!

重庆种博士口腔3D超薄全瓷贴面1368元起,开启牙齿美观新体验!

优惠价¥ 1368

原价3780

项目医生:

优惠医院:重庆种博士口腔门诊部

时间:2025-09-19 18:18:02

预约医院

重庆种博士口腔推出的3D超薄全瓷贴面1368元起,这一优惠项目吸引了众多有牙齿美容需求的人士。3D超薄全瓷贴面是一种精良的牙齿修复和美容方式,能有效改善牙齿的色泽、形态等问题。接下来,让我们详细了解一下该项目的价格及重庆种博士口腔在这方面的特色优势。

重庆种博士口腔3D超薄全瓷贴面价格详情

重庆种博士口腔3D超薄全瓷贴面价格详情

重庆种博士口腔的3D超薄全瓷贴面价格以1368元起,不过这只是基础价格。实际的价格会受到多种因素的影响,比如材料的不同,如果选择进口的高品质全瓷材料,价格会相对较高;牙齿的具体情况也特别关键,若牙齿本身存在较多问题,如龋齿、牙列不齐等,在进行贴面修复前需要精良行相应的治疗,这也会增加整体的费用;还有治疗的难度,若需要贴面修复的牙齿数量较多,或者牙齿的位置比较特殊,操作难度大,价格也会有所提升。

与其他口腔机构相比,运城运中口腔的全瓷牙贴面费用2000元起,广元市中 心医院口腔科的仿真复合瓷牙贴面2904 - 6274元起,重庆种博士口腔的3D超薄全瓷贴面1368元起的价格具有一定的优势,为消费者提供了更具性价比的选择。

重庆种博士口腔3D超薄全瓷贴面的医院优势

重庆种博士口腔3D超薄全瓷贴面的医院优势

重庆种博士口腔医院位于江北区建新东路10号天宇银座第三层第四层,建筑面积约占5000平方米,诊疗空间宽敞明亮。医院的交通十分便利,乘坐公交或地铁都可以到达。院内环境设计高端简约,为患者营造了舒适的就诊氛围。

在医疗设备方面,医院具有精良的诊疗设备,这些设备能够为3D超薄全瓷贴面的治疗提供精细的支持。例如,精良的口腔扫描仪可以严谨获取牙齿的形态和数据,为制作贴合度高的全瓷贴面提供保护。

医院还实行价格公开、透明的政策,让患者清楚每一笔费用的去向。患者无需排队,也不需要多次来院,省时省力省钱。这种效率高的服务模式,大大提高了患者的就诊体验。

重庆种博士口腔医生在3D超薄全瓷贴面的专精优势

重庆种博士口腔医生在3D超薄全瓷贴面的专精优势

重庆种博士口腔的医生团队实力雄厚。他们专注口腔种植20年,在牙齿美容修复领域积累了丰富的经验。对于3D超薄全瓷贴面项目,医生们能够针对性每位顾客的牙齿情况,制定个性化的治疗方案。

医生们会根据患者的牙齿颜色、形态、排列等因素,结合患者的需求和面部特征,为患者量身定制更适合的全瓷贴面。比如,对于牙齿颜色偏黄的患者,医生会选择颜色更自然、美白成效更好的全瓷材料;对于牙齿有轻微不齐的患者,医生会通过调整贴面的厚度和形状,在一定程度上改善牙齿的外观。

在治疗过程中,医生们的操作熟练、精细,能够确保全瓷贴面的贴合度和美观度。他们还会为患者提供专精的术后护理建议,帮助患者更好地维护牙齿健康和贴面成效。

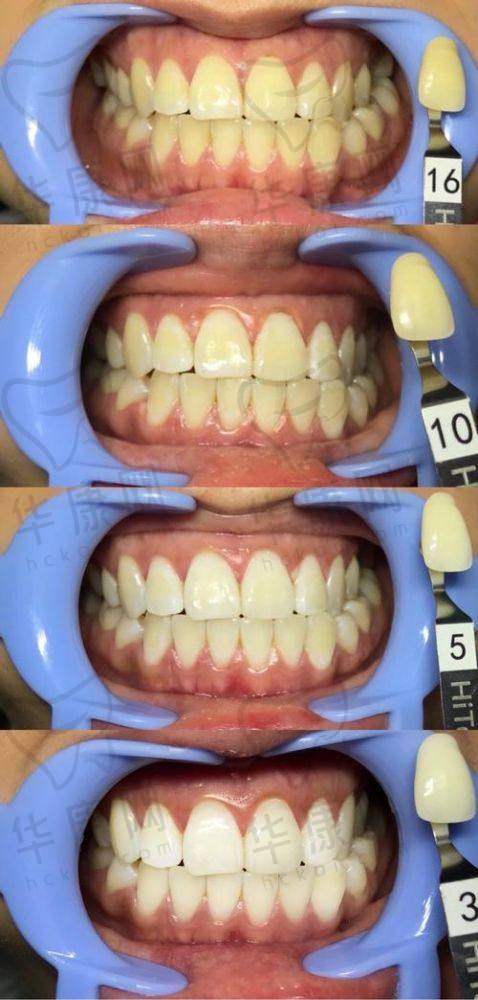
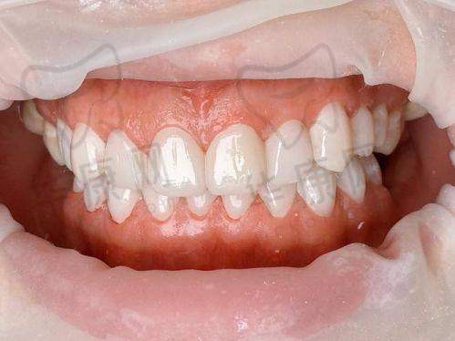
重庆种博士口腔3D超薄全瓷贴面的成功实例

重庆种博士口腔3D超薄全瓷贴面的成功实例

重庆种博士口腔有许多3D超薄全瓷贴面的成功实例。例如,李先生是一位商务人士,由于长期吸烟,牙齿颜色变得暗黄,影响了他的形象和自信心。他来到重庆种博士口腔,医生为他制定了3D超薄全瓷贴面的治疗方案。经过治疗后,李先生的牙齿变得洁白亮丽,整个人的魅力也得到了较大的提升。

又如,张女士的牙齿有轻微的缝隙和不整齐,她一直希望能够改善牙齿的外观。在重庆种博士口腔,医生为她设计了个性化的全瓷贴面,不仅关闭了牙齿缝隙,还让牙齿看起来更加整齐美观。张女士对治疗成效非常满意,她表示全瓷贴面让她拥有了自信的笑容。

重庆种博士口腔3D超薄全瓷贴面的服务保护

重庆种博士口腔3D超薄全瓷贴面的服务保护

重庆种博士口腔为3D超薄全瓷贴面项目提供了完善的服务保护。在治疗前,医生会与患者进行详细的沟通,了解患者的需求和期望,为患者提供专精的建议。治疗过程中,医院会严格遵循医疗规范,确保治疗的安心和质量。

治疗后,医院还会提供定期的回访服务,了解患者的使用情况和牙齿健康状况。如果患者在使用过程中遇到任何问题,医院会及时为患者提供解决方案。此外,医院还确保对全瓷贴面提供一定期限的质保服务,让患者没有后顾之忧。

重庆种博士口腔的3D超薄全瓷贴面1368元起这一项目,以其合理的价格、医院的优势、医生的专精以及完善的服务保护,为广大有牙齿美容需求的人士提供了一个优质的选择。如果你也想改善牙齿的外观,不妨考虑重庆种博士口腔的3D超薄全瓷贴面项目。

总之,重庆种博士口腔3D超薄全瓷贴面1368元起的项目,凭借价格优势、医院的精良设备和优质环境、医生的专精技术以及完善的服务保护,在口腔美容领域脱颖而出。想要拥有更美观的牙齿,重庆种博士口腔是值得信赖的选择。

评价

评价(已有0人点评)

日记