华康网 华康网

当前位置:首页> 项目 > 正文

泰安牙博士口腔冷光美白680元起,专业技术开启牙齿焕白新体验!

泰安牙博士口腔冷光美白680元起,专业技术开启牙齿焕白新体验!

优惠价¥ 680

原价1250

项目医生:

优惠医院:泰安牙博士口腔诊所

时间:2025-09-09 16:38:02

预约医院

在追求牙齿美白的道路上,泰安牙博士口腔推出了极具吸引力的冷光美白项目,价格680元起。这一优惠活动让更多人有机会拥有洁白亮丽的牙齿。下面就为大家详细介绍泰安牙博士口腔冷光美白项目的相关情况。

泰安牙博士口腔冷光美白项目价格详情

泰安牙博士口腔的冷光美白价格十分亲民,较低680元起。不过价格并非一成不变,会根据不同的套餐和服务内容有所差异。在2025年,其冷光美白价格大致在598 - 800元这个区间波动。例如在2月19日的价格信息中,冷光美白是598元起;而在2024年不同时间节点,价格也有所不同,1月25日冷光美白是800元起,11月17日是780元起。这种价格的灵活性能够满足不同消费者的预算需求。

泰安牙博士口腔冷光美白的技术优势

泰安牙博士口腔冷光美白的技术优势

该口腔医院采用精良的冷光技术进行牙齿美白。这种冷光技术可以快速有效地分解牙齿表面的色素,在短时间内让牙齿变得更加洁白。与传统的美白方式相比,冷光美白具有效率高、安心的特点。它不会对牙齿造成过度的刺激和损伤,能够在保护牙齿健康的前提下实现美白成效。而且冷光美白过程相对舒适,患者不会感到明显的疼痛或不适。

泰安牙博士口腔冷光美白的医生团队优势

泰安牙博士口腔冷光美白的医生团队优势

泰安牙博士口腔拥有一支专精的医生团队,这些医生在冷光美白领域拥有丰富的经验。他们经过严格的专精培训,具备扎实的理论知识和不错的操作技能。在进行冷光美白治疗前,医生会对患者的牙齿状况进行全方面的检查和评估,根据患者的具体情况制定个性化的美白方案。在治疗过程中,医生能够精细地控制冷光的强度和时间,确保美白成效达到至佳,同时较大程度地减少对牙齿和牙龈的伤害。

泰安牙博士口腔冷光美白的服务优势

泰安牙博士口腔冷光美白的服务优势

医院提供优质的服务体验。从患者进入医院开始,就会有专精的导医人员引导患者进行各项检查和治疗。在冷光美白过程中,医护人员会密切关注患者的感受,及时解答患者的疑问。治疗结束后,医生会为患者提供详细的护理建议,帮助患者保持牙齿的美白成效。此外,医院的收费透明,不会出现乱收费的情况,让患者能够放心消费。

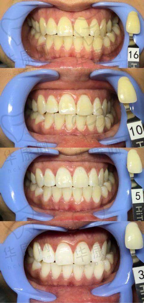
泰安牙博士口腔冷光美白的成功实例

泰安牙博士口腔冷光美白的成功实例

泰安牙博士口腔已经为众多患者成功进行了冷光美白治疗。有一位患者由于长期喝咖啡和抽烟,牙齿变得十分黄黑。在来到泰安牙博士口腔进行冷光美白治疗后,牙齿明显变白,整个人的魅力也得到了较大的提升。还有一位年轻的女士,因为牙齿不够洁白而在社交场合中缺乏自信。经过冷光美白后,她的牙齿变得洁白亮丽,笑容更加自信迷人。这些成功实例充分证明了泰安牙博士口腔冷光美白项目的有效性和可靠性。

总的来说,泰安牙博士口腔冷光美白680元起的项目,以其合理的价格、精良的技术、专精的医生团队、优质的服务以及众多的成功实例,成为了众多追求牙齿美白人士的理想选择。如果你也想拥有洁白的牙齿,不妨来泰安牙博士口腔体验一下冷光美白的魅力。

评价

评价(已有1人点评)

我最近在泰安牙博士口腔体验了680元起的冷光美白,效果真心不错!牙齿变得洁白亮丽,整个过程也很舒适,医生团队专业细致,服务态度很好,值得推荐!

2025-09-22 23:00:43

日记