华康网 华康网

当前位置:首页> 项目 > 正文

长春爱馨口腔王永刚利齿多种植牙1500元起,技术娴熟性价比领跑市场

长春爱馨口腔王永刚利齿多种植牙1500元起,技术娴熟性价比领跑市场

优惠价¥ 1500

原价3350

项目医生:

优惠医院:长春爱馨口腔门诊部

时间:2025-09-05 15:52:02

预约医院

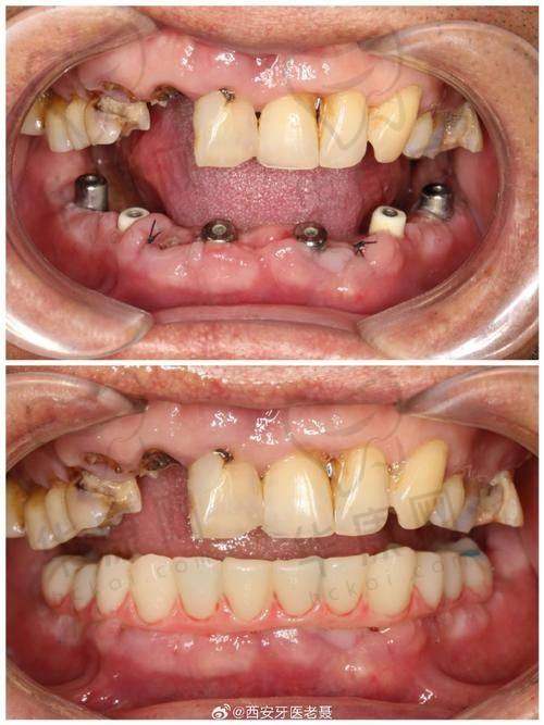
长春爱馨口腔王永刚利齿多种植牙1500元起,这一优惠信息吸引了众多有种植牙需求的患者。在口腔医疗领域,种植牙是一项重要的修复手段,而长春爱馨口腔的王永刚医生凭借其专精技术和合理的价格,成为了不少人的选择。

长春爱馨口腔王永刚利齿多种植牙价格详情

长春爱馨口腔王永刚利齿多种植牙价格详情

长春爱馨口腔为患者提供了多样化的种植牙价格选择。国产利齿多种植牙价格低至1500元起一颗,这对于特别多患者来说是相当实惠的。此外,还有其他不同品牌的种植体可供选择,如以色列雅定种植牙价格6000元起一颗,韩国登腾种植牙3980元起/颗,瑞士ITI种植牙6999元/颗起等。对于半口和全口种植,也有相应的价格方案,半口all - on - 4种植牙10000元起,半口all - on - 6种植牙12800元起。如果是全口骨量不足患者可选择All - on - 6全口种植牙技术,价格80000元起;上颌骨吸收>5mm患者可选择穿颧种植全口技术,10万元起。

长春爱馨口腔在种植牙项目上的优势

长春爱馨口腔在种植牙项目上的优势

长春爱馨口腔作为吉林省内有名的口腔连锁品牌机构,在牙齿修复领域有深入研究。医院引进了数字化的种植牙系统,医生能够根据患者的牙齿情况做出个性化的种植牙手术方案。这种数字化技术可以提高种植的精细度,减少手术创伤和时间,让患者在治疗过程中更加舒适。而且,医院自成立以来一直致力于提供高质量的口腔医疗服务,拥有良好的口碑和信誉。

长春爱馨口腔王永刚医生的技术特色

长春爱馨口腔王永刚医生的技术特色

王永刚医生是吉林省穿颧种植认证医师,拥有多年临床经验。他以精细且不错的种植牙技术而出名,在种植牙领域有着深厚的造诣。在手术过程中,他能够熟练操作,技术娴熟,实现微痛快捷的种植过程。特别多患者反馈,在王永刚医生这里进行种植牙手术,体验感良好,术后修复也比较快。他能够根据患者的具体口腔状况,如牙槽骨的情况、牙齿缺失的位置等,制定更适合患者的种植方案,确保种植成效的长期稳定性。

长春爱馨口腔王永刚利齿多种植牙的性价比

长春爱馨口腔王永刚利齿多种植牙的性价比

从价格方面来看,长春爱馨口腔王永刚医生提供的种植牙价格亲民。国产利齿多种植牙1500元起的价格,相较于市场上其他一些医疗机构,具有较大的优势。同时,医院还提供多种优惠活动和多期付款方案,让患者能够更加轻松地承担治疗费用。而且,王永刚医生的技术水平有保护,能够为患者提供高质量的种植牙服务,这使得整体的性价比非常高。患者在享受实惠价格的同时,还能获得优质的治疗成效。

患者对长春爱馨口腔王永刚利齿多种植牙的评价

患者对长春爱馨口腔王永刚利齿多种植牙的评价

许多在长春爱馨口腔接受王永刚医生种植牙治疗的患者都给出了好评。他们表示,医院的环境舒适,医护人员服务周到。王永刚医生在治疗前会详细地为患者讲解种植方案和流程,让患者心里有底。在治疗过程中,手术操作规范,技术娴熟,几乎没有疼痛感。术后的回访和护理指导也特别到位,帮助患者更好地修复。这些真实的评价也进一步证明了长春爱馨口腔王永刚利齿多种植牙项目的可靠性和优势。

综上所述,长春爱馨口腔王永刚利齿多种植牙1500元起,不仅价格实惠,而且医院和医生在种植牙项目上有着诸多特色优势。无论是从技术水平、服务质量还是性价比方面来看,都值得有种植牙需求的患者选择。

评价

评价(已有0人点评)

日记