华康网 华康网

当前位置:首页> 项目 > 正文

宜春袁州春城口腔3MZ350树脂补牙268元起,高性价比补牙之选!

宜春袁州春城口腔3MZ350树脂补牙268元起,高性价比补牙之选!

优惠价¥ 268

原价995

项目医生:

优惠医院:宜春袁州春城口腔诊所

时间:2025-09-05 15:33:02

预约医院

在宜春袁州,想要进行3MZ350树脂补牙的朋友有福啦!宜春袁州春城口腔推出3MZ350树脂补牙268元起的优惠活动。3MZ350树脂补牙是当下颇受欢迎的补牙方式,而这家口腔机构此次的活动为患者带来了实惠。接下来,让我们深入了解一下相关情况。

宜春袁州春城口腔3MZ350树脂补牙价格详情

宜春袁州春城口腔3MZ350树脂补牙价格详情

3MZ350树脂补牙的价格并非固定不变,一般来说,在宜春袁州春城口腔,其起步价为268元。不过,实际价格会受到多种因素的影响。从市场整体情况来看,3M350树脂可分为3MZ350树脂和3MZ350流动树脂两种亚型,价格分别在300 - 600元/颗、200 - 400元/颗。在不同地区,由于经济水平的差异,价格也有所不同。像消费水平较高的地区,3M Z350树脂补牙价格可能接近或超过500元;而在消费水平一般的地区,可能在300元左右。在宜春,进口3M树脂补牙价格约278元至380元起/颗,该口腔医院268元起的价格是比较有竞争力的。

此外,牙齿的具体情况也会对价格产生影响。如果牙齿位置不好操作,如后牙咬合面修补,由于操作难度更大,收费可能比前牙贵100 - 200元。同时,医生的有名度和经验也在一定程度上影响着价格,经验多、有名度高的医生收费可能会相对高一些。

宜春袁州春城口腔3MZ350树脂补牙的医院优势

宜春袁州春城口腔3MZ350树脂补牙的医院优势

宜春袁州春城口腔在当地具有良好的口碑。医院拥有精良的口腔诊疗设备,能够为3MZ350树脂补牙提供精细的诊断和治疗支持。例如,其采用的口腔影像设备可以清晰地显示牙齿的内部结构,帮助医生正确判断牙齿的病变情况,从而制定出更合适的补牙方案。

医院的环境舒适宜人,严格遵循卫生标准进行消毒和管理。在补牙过程中,使用的一次性器械可以有效避免交叉感染,为患者提供安心、卫生的诊疗环境。而且,医院的服务周到细致,从患者进门的那一刻起,就有专精的导医进行引导,解答患者的疑问,让患者在轻松的氛围中完成补牙治疗。

宜春袁州春城口腔3MZ350树脂补牙的医生优势

宜春袁州春城口腔3MZ350树脂补牙的医生优势

该口腔医院的医生团队实力雄厚。医生们都经过专精的培训,具备丰富的临床经验。他们熟悉3MZ350树脂的特性和使用方法,能够根据患者的不同牙齿情况,选择更合适的补牙方式。例如,对于一些牙齿龋坏较为重度的患者,医生会精良行全方面的检查和评估,然后采用科学的方法进行治疗,确保补牙的成效和质量。

医生们还注重与患者的沟通。在治疗前,会详细地向患者介绍3MZ350树脂补牙的过程、优缺点以及可能出现的问题,让患者充分了解治疗方案,做出明智的选择。在治疗过程中,医生会耐心地操作,尽量减少患者的不适感。治疗后,会为患者提供详细的护理建议,帮助患者更好地保护补牙后的牙齿。

3MZ350树脂补牙的优势及适用情况

3MZ350树脂补牙的优势及适用情况

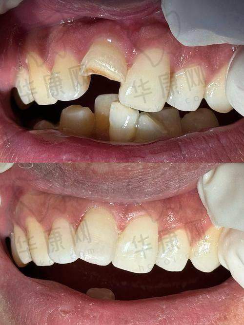
3MZ350树脂属于纳米树脂补牙,与口腔的相容性比较好,特别少会出现排斥的反应。它具有优异的耐磨性和美观性,补完牙后,牙齿的外观和功能都能得到良好的修复,几乎可以达到与真牙无异的成效。在美观度方面,3MZ350树脂有多种颜色可供选择,能够根据患者的牙齿颜色进行匹配,使补牙后的牙齿更加自然。

这种树脂补牙适用于大多数牙齿龋坏的情况,无论是前牙还是后牙都可以使用。对于那些对牙齿美观度有较高要求的患者来说,3MZ350树脂补牙是一个不错的选择。同时,它也适用于一些对牙齿功能修复有需求的患者,能够有效提高牙齿的咀嚼能力。

选择宜春袁州春城口腔3MZ350树脂补牙的注意事项

选择宜春袁州春城口腔3MZ350树脂补牙的注意事项

在选择该口腔医院进行3MZ350树脂补牙时,患者需要注意一些事项。首先,要提前了解医院的相关信息,包括医生的资质、医院的口碑等。可以通过网络、朋友推荐等方式进行了解。其次,在补牙前,要如实向医生告知自己的牙齿情况和身体状况,如是否有过敏史、是否正在服用某些药物等,以便医生做出正确的判断。

补牙后,要按照医生的建议进行护理。短期内避免食用实力强、过黏的食物,保持口腔清洁,按时刷牙、漱口。同时,要定期到医院进行复查,以便及时发现问题并进行处理。

总之,宜春袁州春城口腔3MZ350树脂补牙268元起的活动为患者提供了一个性价比特别高的选择。该口腔医院在价格、医院环境、医生技术等方面都具有一定的优势,能够为患者提供优质的3MZ350树脂补牙服务。如果你有补牙的需求,不妨考虑一下这家口腔机构。

评价

评价(已有1人点评)

我最近在宜春袁州春城口腔做了3MZ350树脂补牙,价格268元起,性价比真心高!医生技术很棒,整个过程几乎没有不适感,环境也很卫生。补完后效果自然,完全看不出来是补过的。强烈推荐给需要补牙的朋友们!

2025-09-07 12:45:36

日记