华康网 华康网

当前位置:首页> 项目 > 正文

重庆贝乐嘉口腔医院儿童早期矫治4223元起,专业方案助力孩子口腔健康发育

重庆贝乐嘉口腔医院儿童早期矫治4223元起,专业方案助力孩子口腔健康发育

优惠价¥ 4223

原价7530

项目医生:

优惠医院:重庆贝乐嘉口腔医院

时间:2025-09-04 16:45:06

预约医院

重庆贝乐嘉口腔医院儿童早期矫治4223元起,这一优惠价格吸引了众多家长的关注。儿童早期矫治对于孩子的口腔健康至关重要,而重庆贝乐嘉口腔医院在该项目上有着独特的优势。

重庆贝乐嘉口腔医院儿童早期矫治项目价格详情

重庆贝乐嘉口腔医院儿童早期矫治项目价格详情

2025年重庆贝乐嘉口腔医院价格表显示,儿童早期矫治价格在4280 - 4470元起。不过,目前有优惠活动,儿童早期矫治4223元起。当然,此价格仅供参考,具体以面诊为主。医院实时价格可能有调整,也可能因优惠活动更加便宜。

重庆贝乐嘉口腔医院在儿童早期矫治方面的特色优势

重庆贝乐嘉口腔医院在儿童早期矫治方面的特色优势

重庆贝乐嘉口腔医院是一家正规的二级口腔专科医院,在重庆北碚区、綦江区和大足区设有三家分院。医院设置普通口腔综合治疗室4间,VIP口腔综合诊疗室2间,种植手术室2间,并配备有进口高端口腔CT设备、血常规检验设备、消毒设备以及全套手术设备。精良的设备为儿童早期矫治提供了精细的诊断和治疗基础。

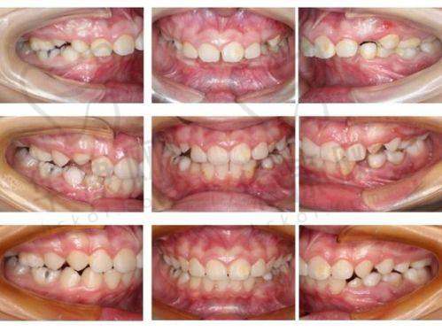
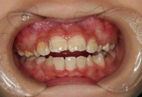
在儿童早期矫治中,医院注重个性化方案的制定。例如对于地包天的矫正,会根据患者的年龄、地包天的重度程度以及骨骼发育情况等因素,制定个性化的矫正方案。对于儿童患者,早期干预至关重要。在乳牙期或替牙期,如果发现孩子有地包天的迹象,贝乐嘉会采用活动矫治器进行矫正。活动矫治器具有可摘戴的特点,方便清洁口腔,同时能根据孩子的口腔发育情况进行调整。

重庆贝乐嘉口腔医院医生在儿童早期矫治方面的优势

重庆贝乐嘉口腔医院医生在儿童早期矫治方面的优势

重庆贝乐嘉口腔医院拥有专精的医生团队。正畸医生主推杜跃华院长,杜跃华医生尤其擅长各种牙颌畸形早期矫治、综合序列矫治以及成人矫形手术。她利用口内扫描设备,结合丰富的牙颌知识和临床经验,为儿童患者提供专精的治疗。

另外,张亚医生也擅长牙齿早期矫正、正畸、金属矫正、隐形矫正等。医生们凭借丰富的经验和专精知识,能够正确判断儿童口腔问题,并制定合适的矫治方案。

重庆贝乐嘉口腔医院儿童早期矫治的性价比优势

重庆贝乐嘉口腔医院儿童早期矫治的性价比优势

贝乐嘉与多家正规材料商达成合作,确保患者所使用的牙套矫正器品质优良。医院收费合理,性价比高,并定期推出优惠活动,让患者看牙更加划算。像此次儿童早期矫治4223元起的活动,就为家长们节省了不少费用。

同时,医院以“舒适化诊疗”为核心理念,致力于为患者提供轻松的就医体验。采用现代化的管理模式,注重细节服务,力求让每一位患者都能感受到温暖与关怀,这对于儿童患者来说尤为重要。

重庆贝乐嘉口腔医院儿童早期矫治4223元起的优惠活动,结合医院的专精设备、专精医生团队以及高性价比等优势,为儿童的口腔健康提供了优质的保护。家长们不妨带孩子到院进行询问和检查。

综上所述,重庆贝乐嘉口腔医院儿童早期矫治4223元起的项目,无论是从价格还是从医院、医生的特色优势来看,都值得家长们为孩子选择。

评价

评价(已有0人点评)

日记