雅安优诺口腔E-MAX嵌体补牙1680元起,这一优惠且专精的补牙项目吸引了众多患者的关注。在口腔健康日益受到重视的今天,选择一家靠谱的口腔机构进行补牙至关重要。雅安优诺口腔凭借其专精的技术、合理的价格和优质的服务,成为了不少人的优选。

雅安优诺口腔E-MAX嵌体补牙项目价格详情
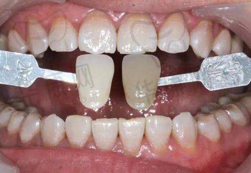
雅安优诺口腔的E-MAX嵌体补牙价格从1680元起。这一价格在市场上具有一定的竞争力,同时也反映了该项目的品质。与传统的补牙方式相比,E-MAX嵌体具有更好的美观性和耐用性。它能够严谨地修复牙齿的外形和功能,与牙齿的贴合度更高,大大降低了继发龋的发生几率。
在雅安优诺口腔,除了E-MAX嵌体补牙,还有进口3M树脂补牙等其他补牙项目可供选择。进口3M树脂补牙价格相对较低,仅需188元起一颗。不同的补牙材料适用于不同的牙齿情况和患者需求,患者可以根据自己的实际情况,在医生的建议下进行选择。

雅安优诺口腔在E-MAX嵌体补牙方面的医院优势
雅安优诺口腔是一家资质齐全的正规牙科机构。它拥有精良的口腔诊疗设备,如三维CT检查设备等,能够为患者提供更加精细的口腔检查和诊断。这些设备有助于医生全方面了解患者的牙齿状况,制定出更适合的治疗方案。
医院的环境舒适宜人,前台服务热情周到。患者一进入医院,就能感受到温馨的氛围。在洗牙等服务过程中,前台小姐姐会热情接待,医生也会认真检查牙齿。洗牙医生动作轻柔,还会在洗牙前详细介绍洗牙过程,洗牙过程中讲解牙齿存在的情况和后续护理方法,让患者感受到贴心的服务。
此外,雅安优诺口腔的收费透明合理。医院公布了详细的收费价格表,让患者清楚每一项费用的支出。除了补牙项目,种植牙价格3599元起一颗,全口种植牙5万元起;牙齿矫正价格6800元起,隐形矫正价格23800元起等。这种明码标价的方式,避免了患者的后顾之忧。

雅安优诺口腔医生在E-MAX嵌体补牙方面的技术优势
雅安优诺口腔的医生团队经验多,技术不错。他们经过专精的培训,具备扎实的口腔医学知识和丰富的临床经验。在E-MAX嵌体补牙过程中,医生能够精细地操作,确保嵌体的贴合度和美观度。
医生们会根据患者的牙齿情况和需求,制定个性化的治疗方案。对于一些复杂的牙齿问题,他们也能够熟练应对。例如,在处理磨牙根管治疗等问题时,医生能够凭借其专精的技术,为患者提供有效的治疗。
而且,医生们还会关注患者的口腔健康整体状况。在进行E-MAX嵌体补牙时,会提醒患者注意口腔卫生,预防其他口腔疾病的发生。他们会耐心解答患者的疑问,让患者对自己的口腔健康有更深入的了解。

雅安优诺口腔E-MAX嵌体补牙的患者评价
许多在雅安优诺口腔进行E-MAX嵌体补牙的患者都给出了高度评价。一位市民果果在洗牙后表示,该门诊环境良好,前台服务热情,医生认真负责。洗牙过程中,医生的轻柔操作和详细讲解让她对自己的牙齿状况有了更清晰的认识。
还有患者在进行E-MAX嵌体补牙后,对补牙的成效非常满意。他们认为嵌体的美观性和功能性都良好,与自己的牙齿几乎融为一体。而且,在补牙过程中,医生的专精和耐心让他们感到安心。

雅安优诺口腔E-MAX嵌体补牙的后续服务
雅安优诺口腔为患者提供完善的后续服务。在E-MAX嵌体补牙后,医生会告知患者注意事项,如避免食用实力强的食物等。医院还会定期对患者进行回访,了解患者的修复情况。
如果患者在补牙后出现任何问题,随时可以联系医院。医生会及时为患者进行处理,确保患者的口腔健康。这种贴心的后续服务,让患者感受到了雅安优诺口腔的关怀和负责。
雅安优诺口腔E-MAX嵌体补牙1680元起这一项目,无论是从价格、医院优势、医生技术,还是患者评价和后续服务等方面来看,都具有较大的吸引力。它为患者提供了一个优质、专精、贴心的口腔治疗选择。如果您有补牙需求,不妨考虑一下雅安优诺口腔。
雅安优诺口腔E-MAX嵌体补牙1680元起,为您的口腔健康保驾护航。在这里,您可以享受到专精的治疗、合理的价格和优质的服务。相信雅安优诺口腔会成为您口腔健康的守护者。
评价(已有0人点评)