洛阳拜尔九龙口腔医院树脂贴面748元起,这一优惠的价格吸引了众多有牙齿美容需求的人士。今天,让我们深入了解一下该医院的树脂贴面项目。

洛阳拜尔九龙口腔医院树脂贴面项目价格详情
洛阳拜尔九龙口腔医院推出的树脂贴面748元起的价格,在市场上具有特别强的竞争力。相较于其他口腔医院的同类项目,这样的价格门槛更低,让更多人能够轻松享受到牙齿美容的服务。不过,具体的价格会根据患者牙齿的具体情况有所波动。如果牙齿状况较为复杂,比如存在较多的龋齿、牙齿排列不齐等问题,在进行树脂贴面之前可能需要精良行一些预处理,这就会导致更终的费用有所增加。
与该医院的其他牙齿美容项目相比,树脂贴面的价格优势明显。例如超薄全瓷牙贴面2685元起,相比之下,树脂贴面价格更为亲民。而且对于一些只是希望改善牙齿外观,对美观度有一定要求但预算有限的患者来说,树脂贴面是一个非常不错的选择。

洛阳拜尔九龙口腔医院在树脂贴面项目上的特色
洛阳拜尔九龙口腔医院作为一家有名的口腔诊疗服务连锁机构,在树脂贴面项目上有着独特的优势。医院成立于2005年,经过将近20年的发展,截至2025年,拥有一家二级口腔医院位于西工区九都路,15家连锁机构分布在各个区域,经营面积20000余平方,员工众多。如此大规模的连锁布局,意味着患者可以根据自己的位置选择就近的门店进行治疗,非常方便。
医院的诊疗环境舒适宜人。走进医院,宽敞明亮的大厅,温馨的候诊区,让患者在紧张的看牙过程中能够放松心情。诊疗室干净整洁,各种精良的设备摆放有序,严格按照卫生标准进行消毒,为患者提供了一个安心、卫生的治疗环境。
在技术方面,医院紧跟口腔医学的发展潮流,不断引进新的树脂贴面技术。采用的树脂材料质量上乘,具有良好的生物相容性和美观度。这些树脂材料能够与牙齿紧密贴合,不易脱落,而且颜色自然逼真,能够良好地模拟真牙的色泽和质感,让患者拥有一口洁白亮丽的牙齿。

洛阳拜尔九龙口腔医院医生在树脂贴面项目上的优势
该医院拥有一支专精的医生团队,他们在树脂贴面领域有着丰富的经验。医生们都经过严格的专精培训,具备扎实的口腔医学理论知识和熟练的操作技能。在为患者进行树脂贴面治疗之前,医生会对患者的牙齿进行全方面的检查和评估,根据患者的牙齿状况、面部特征和个人需求,制定个性化的治疗方案。
医生们在操作过程中非常注重细节,手法娴熟。他们能够精细地将树脂材料粘贴在牙齿表面,确保贴面的厚度均匀、边缘贴合,不会影响患者的正常咬合和发音。而且在治疗过程中,医生会时刻关注患者的感受,及时调整操作力度和方式,尽量减少患者的不适感。
此外,医院还定期组织医生参加学术交流活动和培训课程,让医生们了解全新的口腔医学知识和技术,不断提升自己的专精水平。这使得医生们能够为患者提供更加优质、效率高的树脂贴面治疗服务。

患者实例分享
李先生是一位商务人士,由于长期吸烟和喝咖啡,牙齿变得又黄又黑,这让他在商务交往中非常不自信。他来到洛阳拜尔九龙口腔医院,医生为他推荐了树脂贴面项目。经过详细的检查和沟通,医生为李先生制定了个性化的治疗方案。在治疗过程中,李先生没有感到明显的疼痛和不适。治疗结束后,李先生的牙齿变得洁白整齐,他的自信心也大大提升。现在,李先生在商务场合中更加从容自信,对自己的牙齿非常满意。
张女士是一位爱美的女士,她的牙齿存在一些小缝隙和轻微的不整齐,影响了她的笑容美观。她选择了洛阳拜尔九龙口腔医院的树脂贴面治疗。医生根据张女士的面部特征和个人喜好,精心设计了贴面的形状和颜色。治疗后,张女士的牙齿变得更加理想,笑容更加灿烂。她逢人就推荐洛阳拜尔九龙口腔医院的树脂贴面项目。

患者评价与口碑
从患者的评价来看,洛阳拜尔九龙口腔医院的树脂贴面项目得到了广泛的认可。特别多患者都对医院的服务态度、医生的专精水平和治疗成效给予了高度评价。他们认为医院的医生耐心细致,能够解答他们的各种疑问;治疗过程舒适,成效显著;而且价格合理,性价比高。
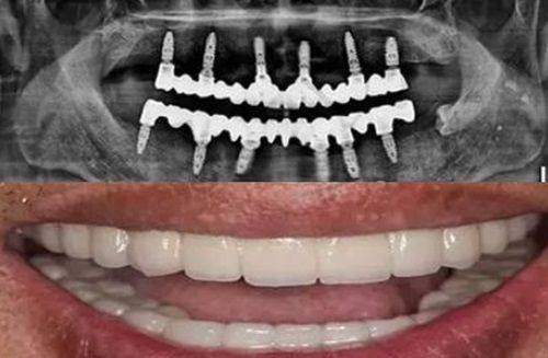
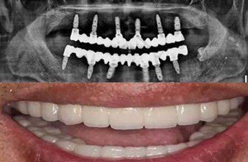
在网络上,也有特别多患者分享了自己在该医院进行树脂贴面治疗的经历。他们上传了治疗前后的对比照片,让更多人直观地看到了树脂贴面的神奇成效。这些真实的实例和好评,进一步提升了医院的口碑和有名度。

洛阳拜尔九龙口腔医院树脂贴面748元起的综合优势总结
洛阳拜尔九龙口腔医院树脂贴面748元起的项目,不仅在价格上具有优势,而且在医院特色、医生技术、治疗成效和患者口碑等方面都表现出色。医院凭借着多年的品牌积累和专精的医疗团队,为患者提供了高品质的树脂贴面服务。无论是从医院的规模、环境,还是医生的专精水平和治疗经验来看,都能够让患者放心地选择该医院进行树脂贴面治疗。
对于那些有牙齿美容需求的人士来说,洛阳拜尔九龙口腔医院的树脂贴面项目是一个值得考虑的选择。它能够让你以较低的成本获得理想的牙齿美容成效,重拾自信的笑容。如果你也想改善自己的牙齿外观,不妨到洛阳拜尔九龙口腔医院了解一下树脂贴面项目。
洛阳拜尔九龙口腔医院树脂贴面748元起的项目,为广大患者提供了一个经济实惠又专精可靠的牙齿美容选择。相信在未来,该医院会凭借其优势,为更多人带来美丽的牙齿和自信的笑容。
评价(已有0人点评)