华康网 华康网

当前位置:首页> 项目 > 正文

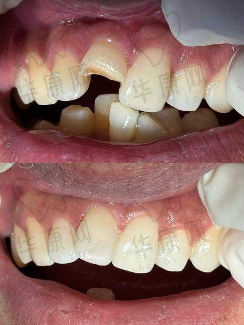
济宁任城玉红古槐口腔美学树脂补牙429元起,纳米技术无痕修复超耐用

济宁任城玉红古槐口腔美学树脂补牙429元起,纳米技术无痕修复超耐用

优惠价¥ 429

原价612

项目医生:

优惠医院:济宁任城玉红古槐口腔门诊部

时间:2025-08-27 15:55:06

预约医院

在济宁任城,玉红古槐口腔推出的美学树脂补牙项目备受关注,其价格429元起,为众多有补牙需求的市民提供了高性价比的选择。接下来,我们将详细了解该项目的价格情况以及这家医院在美学树脂补牙方面的特色优势。

济宁任城玉红古槐口腔美学树脂补牙项目价格详情

济宁任城玉红古槐口腔美学树脂补牙项目价格详情

济宁任城玉红古槐口腔的美学树脂补牙价格起点为429元。不过,实际的补牙费用会受到多种因素的影响。牙齿龋坏的程度是关键因素之一,如果龋坏较浅,仅涉及牙齿表面的小部分,补牙过程相对简单,费用可能就接近基础的429元。但要是龋坏较深,已经波及到牙髓,那么在补牙之前可能需要精良行根管治疗等额外的处理,这样整体的费用就会相应增加。

此外,补牙所使用的树脂材料的品牌和质量也会对价格产生影响。不同品牌的树脂在性能、色泽和耐用性上存在差异。一些进口的高端树脂材料,其色泽更加自然,与真牙的相似度极高,且耐磨性和粘结性更好,使用这种材料进行补牙,价格可能会比普通树脂材料要高一些。

济宁任城玉红古槐口腔在美学树脂补牙方面的医院优势

济宁任城玉红古槐口腔在美学树脂补牙方面的医院优势

济宁任城玉红古槐口腔是一家具有深厚历史底蕴的口腔机构。玉红口腔成立于2000年,经过25余年的发展,现已拥有五家机构,其中包括两家二级医院,济宁任城玉红古槐口腔便是其连锁分院之一。该分院经任城区卫生局审批,是一家正规的现代化数字牙科门诊。在卫健委官网能够查询到其正规的注册登记信息,这充分证明了医院的合法性和专精性,让患者可以放心就诊。

医院的设备十分精良。在美学树脂补牙过程中,精良的设备能够确保补牙的精细度和成效。例如,医院采用的纳米树脂补牙技术,能够有效修复缺损牙齿,使补牙后的牙齿使用时间更长久。同时,医院的超声洗牙机器等设备也为口腔治疗提供了有力的支持,虽然超声洗牙机器本身价格在22389 - 42458元之间,但这也从侧面反映了医院对设备投入的重视,为患者提供更优质的治疗服务。

济宁任城玉红古槐口腔医生团队在美学树脂补牙方面的优势

济宁任城玉红古槐口腔医生团队在美学树脂补牙方面的优势

医院拥有一支专精的医生团队。这些医生都具备丰富的临床经验,在美学树脂补牙领域有着不错的技艺。他们经过严格的专精培训,熟悉各种补牙技术和材料的特性,能够根据患者的具体情况,如牙齿的龋坏程度、患者的口腔健康状况以及个人需求等,制定出个性化的补牙方案。

医生们在操作过程中非常注重细节。在进行美学树脂补牙时,他们会精心处理牙齿表面,确保树脂材料能够牢固地粘结在牙齿上。同时,医生们还会根据患者牙齿的颜色和形状,选择合适的树脂材料进行修补,使补牙后的牙齿在色泽和形态上与周围的真牙高度一致,达到自然美观的成效。而且,医生们在治疗过程中会充分与患者沟通,解答患者的疑问,让患者了解整个补牙过程和注意事项,缓解患者的紧张情绪。

济宁任城玉红古槐口腔美学树脂补牙的其他特色服务

济宁任城玉红古槐口腔美学树脂补牙的其他特色服务

医院提供免费的口检检查服务。对于牙齿缺失、牙齿疼痛的市民,医院招募他们前来进行免费的口腔检查。通过专精的检查设备和医生的细致诊断,能够正确地了解患者的口腔问题,为后续的治疗提供科学的依据。

在服务方面,医院采用1对1诊疗模式。患者在就诊过程中,会有专门的医生为其服务,医生会全程关注患者的治疗情况,提供个性化的治疗建议和护理指导。这种贴心的服务模式能够让患者感受到温暖和关怀,提高患者的就医体验。

济宁任城玉红古槐口腔美学树脂补牙的综合评价

济宁任城玉红古槐口腔美学树脂补牙的综合评价

从价格方面来看,429元起的美学树脂补牙价格在市场上具有一定的竞争力,能够满足不同患者的消费需求。对于一些预算有限但又希望获得较好补牙成效的患者来说,是一个不错的选择。

从医院和医生的优势来看,医院的正规性、精良的设备以及专精的医生团队,都为美学树脂补牙的质量提供了可靠的保护。患者在这里不仅能够解决牙齿问题,还能享受到优质的治疗服务和美观的补牙成效。

总的来说,济宁任城玉红古槐口腔的美学树脂补牙项目凭借其合理的价格、专精的技术和优质的服务,成为了济宁市市民补牙的理想选择之一。如果您有补牙需求,不妨前往该医院进行询问和治疗。

综上所述,济宁任城玉红古槐口腔美学树脂补牙429元起的项目,无论是从价格的性价比,还是医院和医生在该项目上的特色优势,都值得广大市民关注和选择。在这里,您可以放心地解决牙齿问题,重拾健康美丽的笑容。

评价

评价(已有1人点评)

我最近在济宁任城的玉红古槐口腔做了美学树脂补牙,价格429元起,真心觉得很划算。医生特别专业,使用的纳米树脂完全无痕,效果自然得让人惊喜。整个过程也很舒适,医生会详细解释每一步,缓解了我的紧张。补牙后牙齿的颜色和形状都和真牙一模一样,感觉重拾自信了!强烈推荐给有补牙需求的朋友们!

2025-09-15 14:30:26

日记