呼和浩特天牙口腔医院口碑怎么样?这是许多关注口腔健康的呼和浩特市民心中的疑问。今天,我们就来深入探究这家口腔医院,从多个维度了解它的口碑情况。近期,随着口腔健康意识的提升,呼和浩特天牙口腔医院凭借其独特的优势特色,在当地口腔医疗行业中备受瞩目。

呼和浩特天牙口腔医院规模与环境口碑
呼和浩特天牙口腔医院作为一家正规的民营口腔机构,规模宏大。医院占地面积达到1000平方米,分为两层,宽敞明亮的空间给人留下深刻印象。其装修淡雅清新,一进入就能感受到安静和平和的氛围,这种环境设计不仅有利于患者放松心情,更能在一定程度上提升治疗成效。
医院内设有多个科室,包括口腔种植、口腔正畸、口腔修复、口腔内科、口腔外科等,能够全方面满足患者的不同需求。从患者的反馈来看,大家对医院的环境满意度颇高,认为在这样舒适的环境中看牙,心理压力都小了特别多。有患者表示:“医院的环境真的特别优雅,从候诊区到治疗室都非常舒适,每次来治疗都感觉心情特别放松。”

呼和浩特天牙口腔医院设备与技术口碑
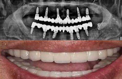
在设备引进上,呼和浩特天牙口腔医院毫不吝啬。配备了一系列精良的口腔诊疗设备,从数字化口腔X光机到口腔CT,再到立体导航系统等。这些高新科技设备的应用,使得医生能够更加精细地进行诊断和治疗。
例如,数字化口腔影像系统可以清晰显示患者的口腔状况,帮助医生制定个性化的治疗方案;而立体导航系统则能在种植牙等复杂手术中,引导医生精细操作,减少创伤,提高成功几率。不少患者都对医院的设备赞不绝口,一位做过种植牙手术的王先生说:“天牙口腔医院的设备真的特别齐全,这些设备让医生能更正确地诊断我的问题,我的种植牙手术特别成功,现在用起来和真牙一样。”

呼和浩特天牙口腔医院医生团队口碑
医生是医院的核心竞争力,呼和浩特天牙口腔医院深知这一点。医院拥有一支由从业多年口腔医生组成的医疗团队,他们不仅具备扎实的专精知识,还拥有丰富的临床经验。
像祝昂明医生作为种植院长,擅长各种高难度种植技术,如all - on - 4/6种植、前牙美学修复种植等;刘金园医生是全科医师,擅长口腔修复、口腔外科治疗等领域,能够处理各种复杂的口腔问题。医院还定期邀请国内外有名口腔医师进行学术交流和培训,不断提升医生的专精水平。患者们对医生的评价非常高,称赞医生经验多、技术娴熟、耐心细致。赵女士说:“我的牙齿一直不太整齐,医生根据我的需求制定了个性化的正畸方案,经过几次调整后,牙齿变得非常整齐。”

呼和浩特天牙口腔医院服务与性价比口碑
在服务方面,呼和浩特天牙口腔医院秉持着“以患者为中 心,以质量为核心”的服务理念。医生们会认真倾听患者的需求和关切,为患者制定个性化的治疗方案,并在治疗过程中给予患者充分的关怀和安慰。此外,医院还设有专门的消毒室,对所有医疗器械和设备进行严格消毒灭菌处理,确保患者不会因治疗而感染其他疾病。
在收费方面,医院做到了公开透明,所有项目都明码标价,不会出现隐形消费问题。同时,医院还经常推出优惠活动,如韩国登腾种植牙2880元起、国产爱尔创全瓷冠1200元起等,让患者在享受高质量医疗服务的同时,也能感受到实实在在的优惠。特别多患者都觉得医院的性价比特别高,郑女士说:“第一次来天牙口腔医院时,医院给了我一次免费的口腔检查,通过这次检查我发现了牙齿问题并及时得到了治疗,这种高性价比的服务特别贴心。”
综上所述,呼和浩特天牙口腔医院口碑怎么样?答案是相当不错。它凭借规模宏大、环境优雅、设备精良、医生团队经验多、服务贴心以及性价比高等优势,在当地口腔医疗领域树立了良好的口碑。无论是治疗常见的口腔问题还是进行复杂的口腔手术,患者都能在呼和浩特天牙口腔医院得到满意的答案。如果您正在为选择一家好的口腔医院而烦恼,不妨考虑一下呼和浩特天牙口腔医院。

评价(已有0人点评)