徐州口腔医院收费标准2025:种植牙2980+/矫正牙齿5980+/镶牙580+,这样的价格到底贵不贵呢?今天就为大家详细解读徐州口腔医院及相关口腔机构的收费情况。

徐州口腔医院种植牙收费标准如何?
徐州口腔医院种植牙价格表显示,其种植牙价格在2980~8万元起。其中,国产百康特种植牙价格为2980元起一颗,这个价格在种植牙市场中是比较亲民的,适合预算有限的患者。韩国登腾微创种植牙价格3988元起一颗,韩国奥齿泰种植牙价格4280元起一颗,这些韩国品牌的种植牙性价比也较高。而像美国皓圣种植牙价格4550元起一颗,以色列AB种植牙价格5230元起一颗等,不同品牌和型号的种植牙价格有所差异,患者可以根据自身需求和经济状况进行选择。
此外,徐州口腔医院allon4半口种植牙价格4万元起,全口种植牙价格8万元起。与其他地区的口腔医院相比,徐州口腔医院的种植牙价格是不高的。同时,徐州种植牙好的医院还有特别多,如徐州医 大鼎植口腔、徐州紫浩口腔、徐州诺恩口腔等,这些医院均是徐州正规便宜又好的口腔医院。

徐州口腔医院矫正牙齿收费情况怎样?
徐州口腔医院矫正牙齿价格在5980~4万元起。国产传统金属矫正牙齿价格5980元起,这是较为基础的矫正方式,价格相对较低。国产自锁托槽矫正牙齿价格6200元起,进口金属托槽矫正牙齿价格6800元起,陶瓷自锁矫正牙齿价格7980元起等,不同类型的托槽矫正价格有所不同。
对于追求美观和舒适度的患者,还有隐形矫正可供选择。正雅隐形矫正牙齿价格13500元起,时代天使隐形牙套价格15600元起,隐适美隐形矫正牙齿价格29800元起,舌侧隐形矫正牙齿价格4万元起。在徐州口腔医院矫正牙齿,患者可以根据自己的牙齿情况和经济实力来挑选合适的矫正方案。而且,徐州口腔医院矫正牙齿有不少好医生,像徐州医 大鼎植口腔医院的蔡中医生、徐州美奥口腔的李东医生等,都是徐州正畸好的医生。

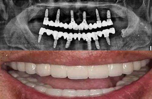
徐州口腔医院镶牙收费标准是多少?
徐州口腔医院镶牙价格在580~10000元起。纯钛金属烤瓷牙冠价格580元/颗起,这是比较经济实惠的镶牙选择。国产爱尔创全瓷牙价格680元/颗起,国产格莱美全瓷牙1300元起/颗,日本则武氧化锆全瓷牙2500元起/颗等,不同材质的全瓷牙价格有较大差异。
对于中老年患者,还有活动假牙可供选择。中老年活动假牙镶牙5000元起,全口舒适吸附性假牙10000元起。徐州镶牙好的医院有徐州医 大鼎植、徐州诺恩口腔等,这些医院镶牙材料正规,患者满意度高。

徐州其他口腔医院收费标准及优势如何?
徐州医 大鼎植口腔医院收费标准也特别有吸引力。集采种植牙价格3730元起一颗,韩国登腾种植牙价格3980元起一颗。固定矫正牙齿价格10800元起,时代天使隐形矫正牙齿价格13800元起。该医院属于鼎植医生集团旗下,是经过徐州市卫生健康委员会批准二级的正规牙科口腔医院,也是本市医疗保险定点单位,其特色项目是VIIV穿颧穿翼种植技术、隐形矫正、舌侧隐形矫正,院内技术实力强。
徐州美奥口腔医院,韩国登腾种植牙价格3980元起一颗,韩国奥齿泰种植牙价格5500元起一颗。国产金属矫正牙齿价格6980元起,进口自锁矫正牙齿价格13800元起。它是正规连锁牙科机构,擅长微创种植牙,种植体导航技术,all on four全口种植即刻负重,翼板区种植技术好。
徐州正博口腔医院,韩国纽百特种植牙价格2980元起一颗,普通金属托槽矫正牙齿价格8800元起,金属自锁托槽矫正牙齿价格12000元起。该医院是徐州二级正规专科口腔的医疗保险定点单位医院,设立了无菌手术室,有着复杂病例种植中 心如穿颧穿翼种植、all - on - 4半口全口即刻种植技术,是徐州便宜又好的口腔医院。
综上所述,徐州口腔医院收费标准2025涵盖了种植牙、矫正牙齿、镶牙等多个项目,价格区间丰富,能满足不同患者的需求。同时,徐州还有徐州医 大鼎植、徐州美奥、徐州正博等口腔医院,它们各有优势,收费也较为合理。如果你想了解更多关于徐州口腔医院价格,可在线询问相关人员。

评价(已有0人点评)